Cấu Tạo Răng Implant
Gồm Bao Nhiêu Bộ Phận
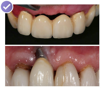
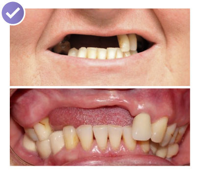
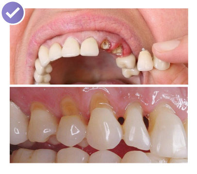
Trồng răng Implant (hay còn gọi là cấy ghép Implant) là kỹ thuật nha khoa hiện đại, trong đó một trụ Implant (chân răng nhân tạo) làm từ chất liệu Titanium cao cấp sẽ được cấy trực tiếp vào xương hàm, thay thế cho chân răng đã mất. Sau đó, một mão răng sứ sẽ được gắn lên trên để tạo thành chiếc răng hoàn chỉnh với hình dáng và chức năng như răng thật.








































